Sharpness
Sharpness describes how good the resolution of the image is and how well fine structures are reproduced.

low sharpness

high sharpness
Brightness
If the brightness is increased, all values in the image (dark and light) are brightened.
Kontrast
Contrast in images refers to the difference between the light and dark areas of the image.
If the contrast is increased, the dark areas are darkened and the light areas are brightened.
Colour Realism
Colour realism refers to how well the colours in an image match the actual colours of the slide (under the light microscope).
Since we do not have any comparison images from an analog light microscope, you must determine this based on your experience with the material and the staining.
It is only a matter of recognizing unrealistic colours that you would not expect to see under the light microscope (e.g. oversaturated colours, imprecise colour transitions, pale colours).

Differences in colour for the same slide
Artefacts
Artefacts are unwanted changes or disturbances that occur during the capture or processing of the slides.
We are only interested in scanner-specific Artefacts.
Artefacts that you should consider.

Missing tissue

Stripe artefacts

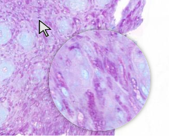
Local faulty focusing
Artefacts that you should ignore.

Dust particles

Markings on the glass slide

Air bubbles & inclusions